Imagerie
-
Angiome des parties molles
-
Entorse de la syndesmose tibio-fibulaire inférieure
-
Apophysite et arrachement du noyau d'ossification de l'épine iliaque antéro-supérieure
-
Arthrite de hanche dans le cadre d'une spondylarthropathie
-
Arthrofibrose ou «cyclops»
-
Arthropathie hémophilique
-
Arthrose radio-carpienne et médio-carpienne «SLAC wrist»
-
Avulsion des adducteurs (thigh splint) versus fracture de fatigue
-
Bursite de la patte d'oie
-
Canal lombaire étroit et rétréci
-
Capsulite rétractile
-
Capsulite rétractile
-
Compression de la branche motrice du nerf radial par une récidive postopératoire d'un kyste synovial de l'articulation huméro-radiale
-
Conflit fémoro-acétabulaire antérieur
-
Conflit intertrochantéro-ischiatique
-
Conflit postéro-médial de la cheville
-
Conflit radio-ulnaire distal
-
Conflit ulno-lunaire
-
Coxarthrose destructrice rapide
-
Dégénérescence myxoïde du LCA (kyste infiltrant du LCA)
-
Dépôt de cristaux d'hydroxyapatite
-
Dépôt de cristaux d'hydroxyapatite dans le foramen L2-L3 droit
-
Dépôts d'hydroxyapatite sur le bourrelet glénoïdien postéro-supérieur
-
Désinsertion du noyau d'ossification de l'épine iliaque antéro-supérieure (EIAS)
-
Diagnostic différentiel IRM de l'épaule oedème de la tête humérale dans un contexte post-traumatique
-
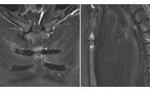
Dislocation rotatoire C1-C2 / Syndrome de Grisel
-
DOMS Douleurs musculaires post-effort retardées
-
Ependymome myxopapillaire
-
Fasciite à éosinophile ou fasciite de Shulman
-
Fasciite nodulaire
-
Fissure longitudinale du tendon tibial postérieur ostéochondrome de la malléole médiale
-
Fissure méniscale latérale déplacée
-
Fracture de fatique de la tête fémorale
-
Fracture de fatigue du tibia
-
Fracture de la coracoïde
-
Fracture de Segond
-
Fracture de Segond
-
Fracture d'un os fibulaire
-
Fracture du processus latéral du talus
-
Fracture du trochiter et lésion capsulaire de type «HAGL»
-
Fracture sur hyperostose vertébrale ankylosante
-
Hernie discale cervicale
-
Hernie discale exclue
-
Instablilité antérieure de l'épaule
-
Kyste articulaire postérieur
-
Lacune corticale métaphysaire
-
Lésion chondrale pure
-
Lésion ostéo-chondrale post-traumatique de la tête fémorale
-
Lésion traumatique des muscles lombricaux
-
Lésion traumatique du ligament triangulaire du carpe
-
Lipoatrophie semi-circulaire de la cuisse
-
Lipohémarthrose - Niveau liquide-liquide
-
Lipome arborescent
-
Luxation des tendons fibulaires
-
Luxation médiale de la longue portion du biceps
-
Luxation postérieure de l'épaule
-
Maladie de Kienböck - Nécrose du lunatum
-
Maladie de Müller-Weiss ostéonécrose aseptique de l'os naviculaire
-
Maladie de Paget
-
Maladie de Paget des os
-
Métastase osseuse avec extension dans le canal sous-piriforme avec irritation du nerf sciatique
-
Migration intra-articulaire du médaillon rotulien en polyéthylène d'une prothèse totale de genou (PTG)
-
Myosite ossifiante circonscrite
-
Oedème transitoire de hanche
-
Omarthrose centrée
-
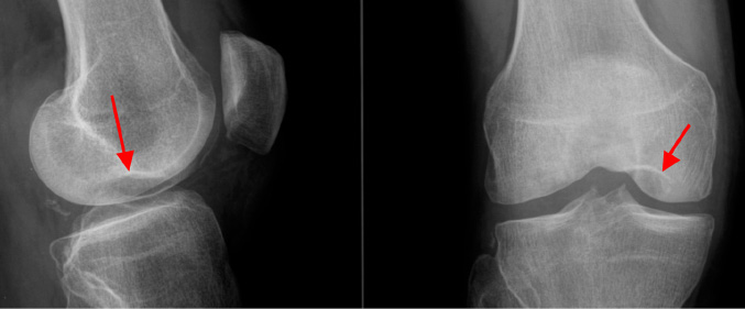
Ostéochodrite disséquante des condyles fémoraux
-
Ostéochondromatose synoviale primitive de l'épaule
-
Ostéochondromatose synoviale primitive du coude
-
Ostéochondrome pédiculé isolé
-
Ostéolyse agressive
-
Ostéome ostéoïde du fémur
-
Ostéome ostéoïde du fémur
-
Ostéonécrose bilatérale des têtes fémorales
-
Ostéonécrose de la tête humérale secondaire à une fracture du col chirurgical
-
Ostéonécrose spontanée du condyle interne
-
Paralysie du grand dentelé
-
Périostite humérale
-
Périostite tibiale
-
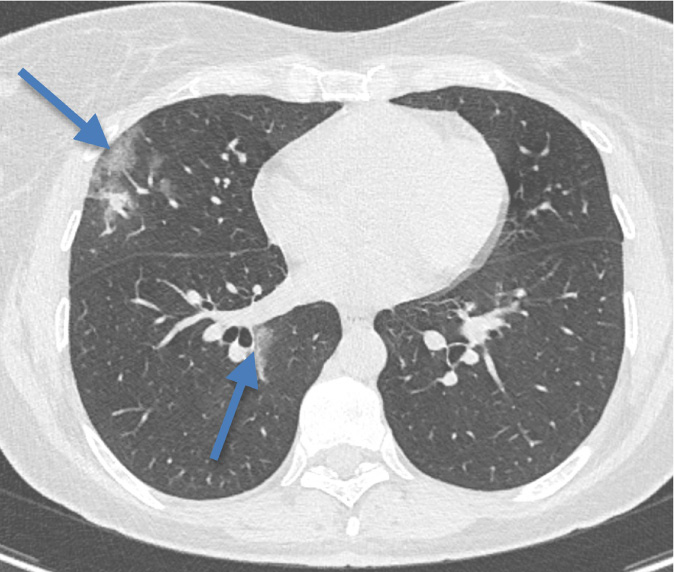
Pneumopathie en rapport avec la COVID-19
-
Résorption de dépôts d'hydroxyapatite dans l'aponévrose des muscles fessiers
-
Ressaut de hanche
-
Ressaut de hanche
-
Rhabdomyolyse
-
Rotule bipartite, dysplasie et arthrose fémoro-patellaire
-
Rupture ancienne de la plaque palmaire de l'IPP
-
Rupture de la plaque palmaire de l'IPP
-
Rupture de la plaque palmaire du gros orteil « Turf toe »
-
Rupture du fléchisseur profond de l'annulaire
-
Rupture du ligament calcanéo-cuboïdien
-
Rupture du ligament collatéral ulnaire de la MCP du pouce Lésion de Stener
-
Rupture du ligament croisé postérieur et du ligament fibulaire collatéral
-
Rupture du ligament luno-triquétal et instabilité en VISI
-
Rupture du ligament scapho-lunaire/« SLAC Wrist »
-
Rupture du ligament tibio-fibulaire antérieur
-
Rupture non transfixiante de la face articulaire du tendon du supra-épineux
-
Rupture non transfixiante de la face bursale du supra-épineux antérieur
-
Rupture transfixiante de la coiffe des rotateurs
-
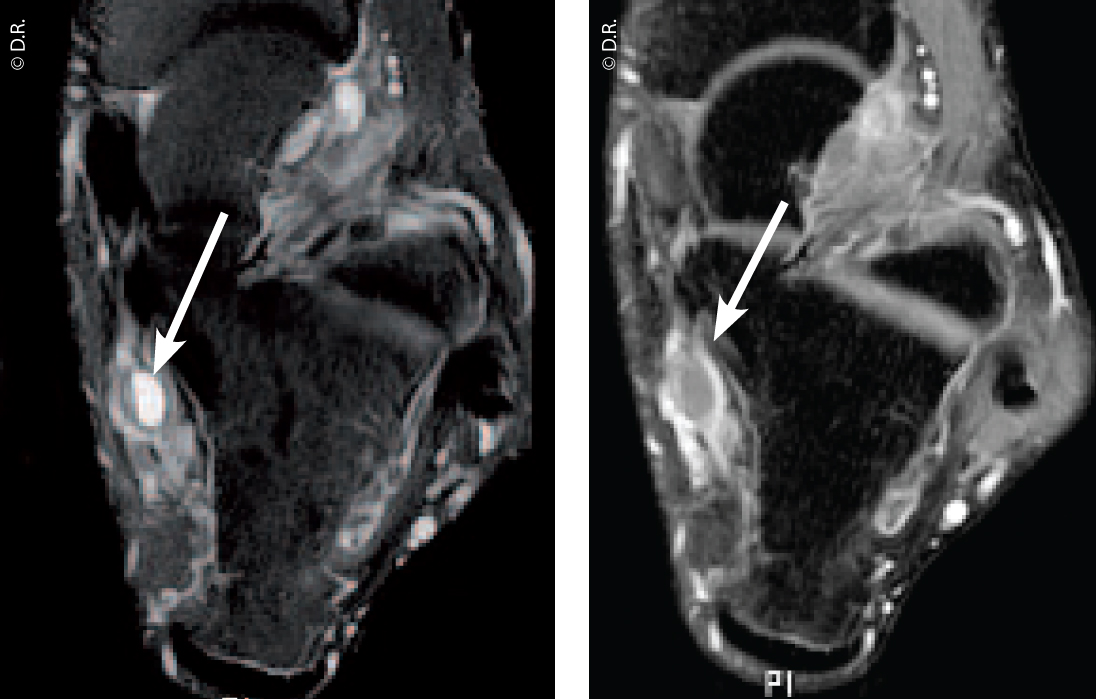
Schwannome du nerf tibial
-
Séquelles de rupture de la jonction myotendineuse du grand pectoral
-
Spondylarthrite ankylosante
-
Spondylarthropathie
-
Spondylarthropathie/Spondylarthrite ankylosante
-
Spondylodiscite infectieuse
-
Syndrome de Baxter
-
Syndrome de friction entre le ligament patellaire et le condyle latéral
-
Syndrome de la bandelette ilio-tibiale
-
Le syndrome de Parsonage turner
-
Syndrome de SAPHO
-
Syndrome douloureux régional complexe de type 1
-
Syndrome du carrefour postérieur
-
Syndrome du nerf interosseux postérieur
-
Syndrome du tunnel tarsien postéro-médial
-
Syndrome SAPHO
-
Synostose talo-calcanéenne
-
Synovite villonodulaire pigmentée
-
Tendinopathie de l'extenseur ulnaire du carpe
-
Tendinopathie patellaire proximale (Jumper's knee)
-
Tendon accessoire de type peroneus quartus
-
Thrombose de la veine plantaire latérale
-
Thrombose de la veine plantaire latérale
-
Tophus goutteux / Hyperurcémie chronique
-
Tumeur à cellules géantes (TCG) du tibia