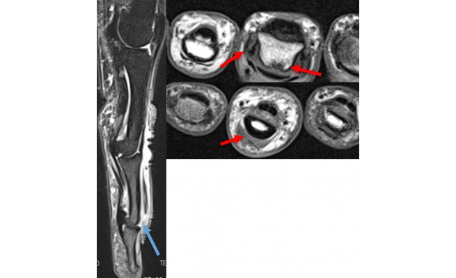
Doigt en maillet. Rupture de l'extenseur sur P3

Pierre Le Hir
Kinésithér Scient 2019,0612:55 - 05/09/2019
Les lésions de l'extenseur digital, en regard de l'articulation interphalangienne distale, entraînent une déformation en flexion de la dernière phalange des doigts longs liée à la section (ou à la rupture) de la partie terminale des bandes latérales au niveau de l'articulation interphalangienne distale.