UN CAS À PART : la cervicalgie d'une chanteuse lyrique

Antoine Clouseau, Cyprien Guillot
Kinésithér Scient 2020,0620:19-27 - 05/05/2020
La pratique quotidienne du masseur-kinésithérapeute est riche par sa diversité, notamment par la multitude de situations rencontrées obligeant le praticien à continuellement s'adapter. C'est ainsi que cet article propose au lecteur d'exposer une prise en soin d'une cervicalgie « à part », celle rencontrée chez une chanteuse lyrique.
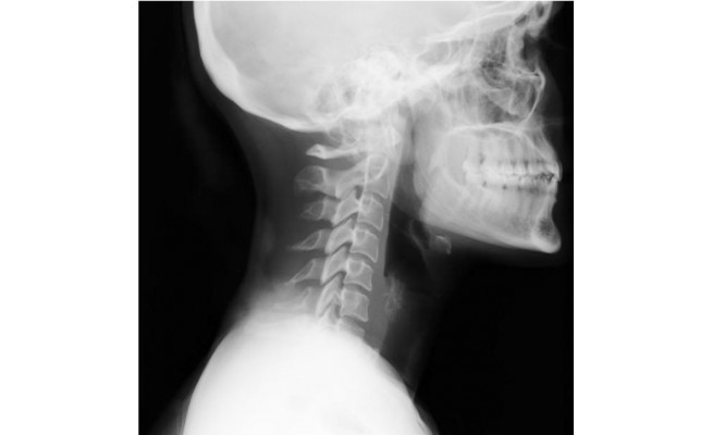
Le bilan et le traitement présentés mettent en avant des spécificités indissociables de l'exercice professionnel de la patiente, à savoir une inversion de courbure cervicale liée à l'action de chanter qui représente l'élément incontournable à prendre en compte par le praticien.
Une exploration de la physiologie du chant permettra à la rééducation d'être au plus près des spécificités cliniques rencontrées.
A PARTICULAR CASE:
Neck pain in a lyrical singer
The daily practice of the physiotherapist is rich in its diversity, in particular by the multitude of situations encountered, obliging the practitioner to continually adapt himself. This is how this article proposes to the reader to expose a treatment for a neck pain «apart», that encountered in a lyric singer.
The assessment and the treatment presented highlight specific features inseparable from the patient's professional practice, namely an inversion of cervical curvature linked to the singing action which represents the essential element to be taken into account by the practitioner.
An exploration of the physiology of singing will allow rehabilitation to be as close as possible to the clinical specificities encountered.