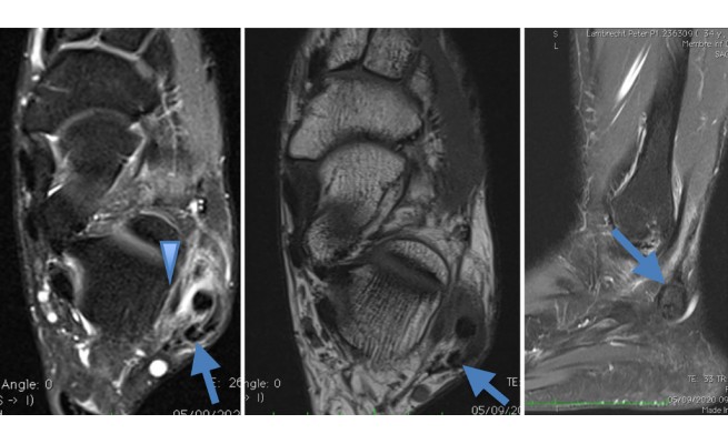
Tendon accessoire de type peroneus quartus

Pierre Le Hir
Kinésithér Scient 2021,0627:55 - 05/01/2021
Les variantes anatomiques musculaires sont fréquentes, le plus souvent non symptomatiques et de découverte fortuite en imagerie. Ces variantes peuvent correspondre à un muscle surnuméraire ou accessoire, un muscle absent ou des variations de trajet ou d'insertion. Dans certains cas, les muscles accessoires sont responsables d'une masse palpable, parfois douloureuse et, dans ce cas, souvent à l'effort. Ils peuvent également comprimer les axes vasculo-nerveux (muscle anconé épithrochléen et compression du nerf ulnaire au coude par exemple).