Lipoatrophie semi-circulaire de la cuisse
C'est une atrophie localisée du tissu sous-cutané de la face antero-latérale de la cuisse.
C'est une atrophie localisée du tissu sous-cutané de la face antero-latérale de la cuisse.
SAPHO est un acronyme pour Synovite, Acné, Pustulose palmoplantaire, Hyperostose et Ostéite. C'est un syndrome apparenté au rhumatisme psoriasique qui associe dans les formes complètes des manifestations cutanées et ostéo-articulaires dominées...
Les luxations postérieures de l'épaule se produisent lors de traumatisme en extension, adduction et rotation interne. Lors du traumatisme, la région antérosupérieure de la tête humérale vient s'impacter sur le rebord postérieur de la glène,...
L'imagerie montre des corps étrangers ostéo-cartilagineux (hypodense au scanner comme le cartilage articulaire gléno-huméral avec des calcifications centrales) dans le recessus articulaire sous-coracoïdien. Le cartilage de recouvrement est...
Il existe trois formes de rupture complète au stade aigu : Une rupture interstitielle où le ligament est épaissi et en hypersignal T2, infiltré par l'oedème, les fibres rompues gardant un trajet presque normal , Les ruptures complètes où la...
Les plicae sont des reliquats embryonnaires des septum séparant les trois compartiments embryologiques du genou : supra-patellaire ( g. 1), médio-patellaire et latéro-patellaire. Ces reliquats sont fréquemment observés en IRM et sont rarement...
Chez ce jeune patient et devant la symptomatologie de lombalgies inflammatoires, le scanner n'est pas l'examen d'imagerie à demander en première intention car c'est un examen irradiant et beaucoup moins sensible ou spécifique que l'IRM. L'IRM est...
L'ostéochondrome (fig. 1) représente 10% des tumeurs osseuses primitives. C'est la plus fréquente des tumeurs osseuses bénignes. Il est fréquemment découvert avant l'âge de 20 ans devant une tuméfaction non douloureuse.
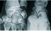
La luxation périlunaire du carpe est la luxation intracarpienne la plus fréquente dans laquelle le lunatum est le pivot. C'est une pathologie rare et grave du sujet jeune. La forme typique, mais pas la plus fréquente, est la luxation rétrolunaire...
La synostose luno-triquétrale est une variante anatomique congénitale intéressant environ 1 % de la population. C'est la plus fréquente des synostoses carpiennes, le plus souvent de découverte fortuite et asymptomatique.